×

Кавказский узел

Скачайте приложение — работает без VPN!
Скачать Скачать
05:40, 23 февраля 2010

На Северном Кавказе растет заболеваемость туберкулезом (видео)

НАСТОЯЩИЙ МАТЕРИАЛ (ИНФОРМАЦИЯ) ПРОИЗВЕДЕН И РАСПРОСТРАНЕН ИНОСТРАННЫМ АГЕНТОМ ООО "МЕМО", ЛИБО КАСАЕТСЯ ДЕЯТЕЛЬНОСТИ ИНОСТРАННОГО АГЕНТА ООО "МЕМО".

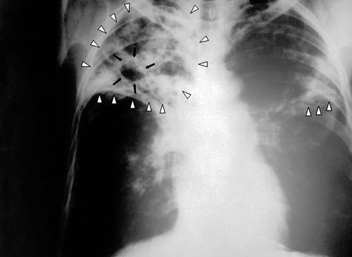
Гуманитарная организация "Международный медицинский корпус" подвела итоги работы на Северном Кавказе за 2009 год. Врачи отмечают, что в регионе растет заболеваемость туберкулезом и ВИЧ, а лечебно-профилактические учреждения в достаточном объеме отсутствуют.

Рост заболеваемости туберкулезом на Северном Кавказе практически самый высокий в России

Как отметили в организации"Международный медицинский корпус" (ММК), "эпидемия туберкулеза - это факт".

"Рост заболеваемости туберкулезом на Северном Кавказе практически самый высокий в России. В Чечне как уже зарегистрированных, так и новых случаев больше, чем в любом другом регионе России за исключением тех, где находятся учреждения пенитенциарной системы, в частности, в некоторых регионах Сибири", - рассказал корреспонденту "Кавказского узла" руководитель российского отделения ММК Семен Расин.

По данным "Международного медицинского корпуса", сегодня в Чечне туберкулезом заражено 355 человек на сто тысяч населения. Выше этот показатель только в Кемеровской области (377 человек). Близки к "лидерам" Ингушетия (240 человек) и Северная Осетия (225 человек). Для сравнения: в Москве этот показатель составляет 77 человек.

"Международный медицинский корпус" работает на Северном Кавказе с 2000 года, прежде всего в Чечне. Мы проводим занятия по повышению квалификации работников лечебно-профилактических учреждений в сельских населенных пунктах, профилактическую работу с населением на базе местных школ. Там мы учим детей навыкам сердечно-легочной реанимации, проводим занятия по профилактике туберкулеза, наркомании, инфекционных заболеваний. У населения отсутствует культура профилактики этой болезни. Нет привычки ходить регулярно к врачу. А когда кто-то заболевает, его никак не ограничивают в общении с членами семьи. После войны те, кто потерял свои дома, жили в стесненных условиях у родственников. Все это не способствует улучшению здоровья", - рассказывает Расин.

По данным врачей, сегодня в Чечне около 5 000 зарегистрированных больных туберкулезом. По словам Семена Расина, официальные цифры заболеваемости отражают лишь часть реальности. "Уровень заболеваемости туберкулезом очень значительный, причем уровень его выявляемости крайне низок. Очень плохой уровень подготовки специалистов. Есть энтузиасты, которые пытаются что-то сделать. А вот квалифицированных специалистов на местах практически нет - никто не хочет ехать работать в Чечню", - сетует руководитель российского отделения ММК.

"Взять персонал неоткуда. Медицинский факультет в Грозном открылся совсем недавно и находится в зачаточном состоянии. А из других регионов не едут. Врачам в Грозном обеспечили невиданные для региона зарплаты - специалисты получают 30 - 50 тысяч рублей в месяц. За счет этого часть специалистов удается удержать, но, тем не менее, ощущается их острая нехватка. А нехватка лекарств от туберкулеза составляет 90%", - продолжил Семен Расин.

Как отмечает руководитель ММК в России, власти Чечни в последнее время обратили внимание на проблему: "В Грозном сделан кое-какой ремонт детского отделения туберкулезного диспансера - силами главврача и, на удивление, благодаря личному вниманию к этому Рамзана Кадырова, который, видимо, понимает, насколько большая проблема для республики эта болезнь. Фактически, большая часть средств поступила из фонда Кадырова".

Однако, рассказывает Расин, основной корпус республиканского противотуберкулезного диспансера, расположенный по адресу проспект Ахмата Кадырова, 308, разбомбленный во время военных действий, до сих пор не может быть отремонтирован. На его территории, как выяснилось, находятся мины, которые по сегодняшний день не разминированы.

"В то же время, противотуберкулезный диспансер не может быть построен в черте города, он должен быть на окраине, но там должны быть все необходимые коммуникации. Таких строительных площадок очень мало, и это одна из них", - говорит руководитель ММК в России.

"Разминировать площадку для строительства диспансера должна российская армия. Однако на просьбы о разминировании главврачу Арби Сайдуллаеву приходили только отписки из штаба российских военных в Ханкале. Мне кажется, что только личное распоряжение Кадырова повлияет на то, чтобы это разминирование состоялось", - заключает Расин.

Население Чечни практически не употребляет алкоголь, но распространено употребление наркотиков

По данным ММК, в Чечне также наблюдается также и рост заболеваемости СПИДом.

"Население Чечни практически не употребляет алкоголь, но распространено употребление наркотиков среди молодежи. Власти пытаются насаждать сильную мораль искусственными методами, но пока это не помогает", - считает эксперт.

При этом он отмечает, что "нельзя сказать, что власть неэффективна". Как говорит Расин, "наконец-то позакрывали киоски, где можно было получить инъекцию наркотика. В Грозном раньше можно было просто подойти к киоску, засунуть туда руку, и "продавец" колол клиенту наркотик прямо в вену. Все эти киоски, рассадники СПИДа, разогнали 2-3 года назад". Тем не менее, наркоманов и бывших наркоманов, уже зараженных инфекцией, осталось много.

"Наконец, на всем Северном Кавказе мораль запрещает, чтобы парень и девушка встречались до свадьбы. Но это не значит, что молодые люди не ищут легких развлечений в соседних регионах и там не заражаются СПИДом в сомнительных местах. Популярное направление - Ставропольский край", - рассказывает Семен Расин.

"Причем СПИД считается запретной темой, и говорить о нем не принято. Поэтому ММК пытается привнести мало-мальское образование, рассказать в образовательных учреждениях, что такое СПИД и как от него защищаться. А многие и этого не знали", - говорит он.

Несмотря на все это, признает Расин, в Чечне есть много активных людей. Например, директор анти-СПИД центра Хеди Айдамирова, которая добилась оборудования своего СПИД-центра новейшим оборудованием.
Но и это не спасает ситуацию: по подсчетам ММК, если в 2001 году в республике было зарегистрировано только три случая одновременного заражения СПИДом и туберкулезом, то в 2008 году новых случаев одновременного заражения было выявлено 47, а за 9 месяцев 2009 года - 43.

Во время войны в Чечне все больные туберкулезом перестали получать лечение, заражая при этом остальных

На вопрос, в чем причины роста числа людей, больных туберкулезом, Семен Расин отвечает так: "Во время войны в Чечне не было никаких лекарств вообще. Все больные, которые находились на лечении от туберкулеза, перестали его получать, заражая при этом остальных. Во-вторых, туберкулез - болезнь социальная, болезнь бедности. Уровень безработицы в Чечне достигает 70% населения, а безработица среди молодежи - 85%".

Напомним, что в настоящее время Министерство здравоохранения Чечни проводит масштабное медицинское обследование в высших и средних учебных заведениях республики на наличие у студентов СПИДа, ВИЧ-инфекции и туберкулеза.

В 2008 году в Чечне была принята специальная республиканская программа "Неотложные меры по предупреждению распространения в республике заболевания, вызываемого иммунодефицитом человека, на период с 2008-го по 2012-й годы". На ее реализацию из республиканского бюджета выделено 88 миллионов рублей, и еще 47 миллионов - из федерального.

По мнению чеченских медиков, причина распространения этого заболевания обусловлена факторами социально-экономического характера, распространением наркомании и недостаточной степенью информированности. Из всего числа зарегистрированных больных более половины составляют наркоманы, употребляющие наркотики внутривенно.

Ранее "Кавказский узел" писал о том, что фтизиатрическая служба в Карачаево-Черкесии также находится в плачевном состоянии и представлял видеосюжет "Кто записал в смертники больных туберкулезом" о проблемах в лечении больных этой болезнью в Карачаево-Черкесии.

Мы обновили приложения на Android и IOS! Будем признательны за критику, идеи по развитию как в Google Play/App Store, так и на страницах КУ в соцсетях. Без установки VPN вы можете читать нас в Telegram (в Дагестане, Чечне и Ингушетии – с VPN). Через VPN можно продолжать читать "Кавказский узел" на сайте, как обычно, и в соцсетях Facebook*, Instagram*, "ВКонтакте", "Одноклассники" и X. Смотреть видео "Кавказского узла" можно в YouTube. Присылайте в WhatsApp* сообщения на номер +49 157 72317856, в Telegram – на тот же номер или пишите по адресу @Caucasian_Knot.

* деятельность компании Meta (владеет Facebook, Instagram и WhatsApp) запрещена в России.

Автор: Анастасия Кириленко

источник: корреспондент "Кавказского узла"

Гласность помогает решить проблемы
Отправь сообщение, фото и видео на «Кавказский узел» через мессенджеры
Фото и видео для публикации нужно присылать через Telegram, выбрав функцию «Файл», либо через WhatsApp - выбрав функцию «Документ». Кнопки работают при установленных приложении Telegram и WhatsApp. Номер для Телеграм и WhatsApp +49 1577 2317856.
Персоналии
Рубен Варданян. Фото: стоп-кадр видео - https://youtu.be/FHtq-QgWC5M?t=126
12:11, 14 марта 2025
Рубен Варданян
Последние записи в блогах
Все блоги